新闻中心
干细胞临床试验汇总
《生物》期刊:干细胞移植,是一种很好的抗衰老策略
前言
前期临床研究表明,向衰老机体中注入年轻机体的血液,可在一定程度上促进衰老机体的干细胞功能恢复,是衰老机体呈现年轻状态。相比之下,使用补充MSCs(间充质干细胞)对抗机体老化则较为简单与成熟。近期发表在国际期刊《Biology》上的一篇综述再次表明,MSCs移植,可能是一种很好的抗衰老策略,具体内容看下文。

正文
2019年至2050年间,64岁以上的人口数量将达到15亿以上,换句话说,在30年内,世界上六分之一的人将被视为“老年人”。在65岁时,患神经退行性疾病、心血管疾病、糖尿病、癌症、骨质疏松症和骨关节炎等疾病的风险会增加。老龄化正在增加医疗保健的负担,尤其是在那些长寿的国度。
事实上,尽管现代社会和医学取得了公认的进步,但生物时代并没有在同等维度上发展。相反,预期寿命的增加往往伴随着发病率的增加。所有这一切都导致社会中越来越多的人需要新的治疗选择,经济资源和医疗科学信息的可及性,正在提高人们对更好生活质量的期望。在这种背景下,再生医学范式的出现可以应对人们向往更健康长寿的挑战。
本文笔者讨论了MSC(间充质干细胞)在组织稳态中的调节作用、在衰老和相关疾病中的改变,以及它们作为新治疗策略基础的可能价值。
衰老的机制
不仅从心理和社会的角度,而且从生物学的角度来看,衰老都是一个复杂的过程。事实上,现有的对老化的定义都不符合这个复杂的过程。有几个表征老化的特征。包括基因组不稳定、表观遗传改变、端粒损耗、代谢功能障碍、蛋白质稳态丧失、线粒体功能障碍、干细胞耗竭、细胞衰老和细胞间通讯改变。衰老是持续的内源性和/或外源性应激的结果,包括氧化应激、复制耗竭、化学物质或辐射。这些有害条件影响成年体细胞,诱导细胞周期停滞以及对坏死、自噬或细胞凋亡引起的细胞死亡的抵抗。所有这些可能共同导致复制衰老状态(图1)。

图1,老化的标志
当DNA复制时,端粒会缩短。导致不可逆的增殖受限,称为复制衰老。这个过程与癌基因诱导的衰老密切相关。癌基因(如RAF、MEK、细胞周期蛋白E和BRAF)的激活和/或过表达不仅会促进衰老,而且还是肿瘤发生的必要步骤。应激诱导的过早衰老可能是由于多种刺激,例如机械应力、缺氧、渗透压、高葡萄糖浓度、电离辐射、热休克和活性氧 (ROS)。关于后一种刺激,ROS 和抗氧化剂产生的失调会导致DNA和蛋白质损伤,以及线粒体功能障碍,从而影响衰老。
与衰老相关的另一种机制是自噬。这种生理过程是维持细胞稳态所必需的。通过自噬去除细胞损伤成分(如蛋白质和线粒体)来防止与年龄相关的细胞损伤。然而,随着年龄的增长,自噬效率逐渐下降。
导致基因沉默的组蛋白调控表观遗传修饰也与细胞衰老密切相关。所有这些衰老过程都会导致细胞形态学变化,其特征是应力纤维扁平化、细胞核增大和大分子积累引起的空泡化。值得一提的是,SASP通过在衰老细胞中产生自我延续的细胞内信号转导回路,导致亚临床炎症。
衰老与免疫系统之间关系的重要性
总的来说,上述衰老相关的机制,例如持续的氧化应激、端粒缩短、自噬受损或表观遗传改变,都会影响先天免疫系统和适应性免疫系统。所有这些导致了免疫系统与衰老之间的一系列证据,可以将其缩小为两类,即免疫衰老和炎症衰老。
免疫衰老是指免疫系统的功能随衰老而下降。随着衰老,单核细胞/巨噬细胞中炎症通路基因的表达上调; 增加病毒、细菌和寄生虫感染的倾向;TGF-β、IL-10等细胞因子抑制树突状细胞(DC)功能,促进M2型巨噬细胞极化;中性粒细胞吞噬能力下降,杀菌活性下降。据报道自然杀伤细胞 (NK)抗病毒能力也会随着年龄的增长而降低。另一方面,Toll样受体 (TLR) 的活性也会随着年龄的增长而下降。
相关的是,衰老淋巴细胞消除新抗原的能力有限,显示出促炎细胞因子谱,可以逃避细胞凋亡,并有利于自身免疫的发展。T细胞的这种持续复制会影响其增殖能力并导致免疫细胞难治性状态。特别是,老年人的B细胞对病原体的反应能力降低。
所有这些与免疫衰老相关的促炎变化都可能导致炎症衰老状态,正如 Claudio Franceschi 教授在 2000 年提出的那样,这是免疫衰老的进化观点。因此,在没有明确外部刺激的情况下出现的炎症衰老转化为先天免疫和适应性免疫之间的负失衡。
衰老与疾病
免疫衰老和炎症衰老是老年人疾病的主要原因,例如慢性炎症性疾病、自身免疫性疾病、感染和癌症,是较高的发病率和死亡率的潜在风险因素。大多数与年龄相关的疾病都有相似的炎症发病机制。此外,炎症衰老可能会加剧这些疾病过程及其发病率。这种常见的炎症性疾病包括动脉粥样硬化、高血压和心肌梗塞、阿尔茨海默病、帕金森病、类风湿性关节炎和 II型糖尿病。
由于免疫力下降,年龄较大的人群也更容易感染大流行的致病病原体。此外,有强有力的数据表明老年人感染的发病率更高。但值得注意的是,老年人具有更高的自身免疫性,其特征是循环调节T细胞 (Treg) 水平高和 CD4/CD8 比率降低,这导致感染和癌症的易感性失衡。另一方面,由于免疫系统功能障碍,疫苗对老年人群的有效性也在下降。
MSC与组织稳态
MSC的多重作用,取决于它们的起源和/或异质性,表明在控制组织调节方面发挥着关键作用,而这种调节能力在一些与年龄相关的疾病中被削弱。越来越多的证据表明MSC参与了有助于组织稳态的细胞间信号“传导”。事实上,MSC的减少或功能障碍与炎症和退行性基础疾病有关,例如糖尿病 (DM)、类风湿性关节炎 (RA) 或系统性红斑狼疮 (SLE) 。
综上,间充质(基质)干细胞可能是合适的术语。由于免疫原性低,MSC已被安全地应用在自体或同种异体移植治疗中。在移植物抗宿主病(GVHD)、克罗恩病(CD)、糖尿病(DM)、多发性硬化症(MS)和心肌梗塞(MI)等多种疾病的治疗上,MSC主要通过旁分泌方式释放可溶性因子(生长因子和细胞因子)来起到效用。
MSC 衍生的分泌产物(细胞外囊泡(外泌体和微泡)和凋亡小体)具有抗炎、再生和抗氧化应激,以及抗肿瘤、抗纤维化和抗菌作用,这可能对衰老和与年龄相关的疾病产生积极影响。
1. 抗炎作用
大多数研究认为MSC主要通过旁分泌方式(而不是直接的细胞间接触)作用于免疫系统 。MSC分泌可溶性因子,产生免疫调节作用,如TGF-β、肝细胞生长因子(HGF)、前列腺素E2(PGE2)、吲哚胺2,3-双加氧酶(IDO)、一氧化氮(NO)、干扰素-γ( IFN-γ)、IL-2 和 IL-10。因此,MSC 会对所有类型的免疫细胞产生免疫调节作用:
(i) 抑制 T 细胞的增殖并减弱其功能;(ii) 影响B细胞,减少其成浆细胞形成并诱导调节性B细胞 (Bregs); (iii) 将单核细胞 (M0) 极化为抗炎M2表型,并将M1巨噬细胞重新编程为 M2表型;(iv) 抑制NK的增殖及其细胞毒性;(v) 抑制树突状细胞 (DC) 的分化和迁移。
2. 再生效果
MSC 产生许多有助于组织再生的活性因子。这些因子包括ECM蛋白(MMP-1、-2、-3、-7;TIPM-1 和 2、弹性蛋白、胶原蛋白、层粘连蛋白和 ICAM)、生长因子(TGF-β、HGF、EGF、KGF、FGF、 VEGF、PDGF、GF-1、NGF-3、BNDF、I G-CSF 或 GM-CSF)和炎症蛋白(MCP-1、PGE2、IL-1、-6、-8–11、-13)。
发挥再生作用的另一种机制是血管生成。MSC分泌分子因子刺激内皮细胞的增殖和迁移。这些因子包括 VEGF、ANG-1 y 2、PDGF、TGF-β1、TGF-α、EGF、FGF、CXCL5、MCP-1 和 MMP。
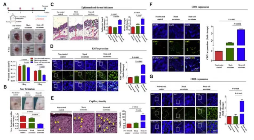
![]()

△ 干细胞分泌蛋白治疗组的伤口表皮和真皮厚度显着增加
参考资料:
Park, S.R.; Kim, J.W.; Jun, H.S.; Roh, J.Y.; Lee, H.Y.; Hong, I.S. Stem Cell Secretome and Its Effect on Cellular Mechanisms Relevant to Wound Healing. Mol. Ther. 2018, 26, 606–617。
然而,这些因子的分泌在衰老的MSC中减少。相反,衰老的MSC会产生高水平的抗血管生成因子(血小板反应蛋白 1 (TBS1) 和纤溶酶原激活物抑制剂 1 (PAI-1))。另一方面,在多项体内和体外研究中,有数据支持MSC可以促进神经再生和改善神经状态的观点。
3. 抗氧化应激作用
MSC表达抗氧化酶,例如抗氧化剂谷胱甘肽 (GSH)、谷胱甘肽过氧化物酶 (Gpx)、SOD1、SOD2 和过氧化氢酶 (CAT) ,以及去乙酰化酶 (SIRT) 和热休克蛋白70 (HSP70)。因此,体外研究证明了MSC对免疫细胞、成纤维细胞、骨骼肌细胞、内皮细胞、心肌细胞、肾细胞、肝细胞、胰岛细胞、神经胶质细胞和神经元的抗氧化作用。

△ MSC 疗法的抗氧化作用
参考资料:
Stavely, R.; Nurgali, K. The emerging antioxidant paradigm of mesenchymal stem cell therapy. Stem Cells Transl. Med. 2020, 9, 985–1006.
此外,MSC 的这种保护作用也通过对衰老、缺血性损伤、糖尿病、胃肠道炎症、感染以及放疗或化疗引起的认知障碍的体内研究得到证实。MSC通过抑制活性氧清除自由基、促进内源性抗氧化防御和改变线粒体生物能量学而具有抗氧化作用。
4. 抗肿瘤作用
衰老是公认的与癌症发展高度相关。事实上,65岁以上人群的癌症发病率要高出10多倍 。据估计,尤其是40%的65岁以上的人会患癌症。此外,众所周知,抗癌疗法的副作用会随着年龄的增长而增加。几项研究表明,MSC的促肿瘤或抗肿瘤作用取决于它们的组织来源和肿瘤类型。起源于子宫的MSC可能成为癌症治疗的良好候选者。
MSC分泌大量细胞因子,诱导乳腺癌细胞体内肿瘤生长的抑制,如IL12、IFN-α、CXCL10、LAP、DKK-1/3、TRAIL、TNFSF14(也称为 LIGHT)和FLT-3 配体。MSC 的抗肿瘤作用也可能部分与TIMP-1和TIMP-2相关,存在于它们的分泌体中 。这可能是由于MMPs的抑制,这与癌细胞侵袭力的丧失有关。
已有研究发现来自人类UC-MSC的EV抑制膀胱癌细胞的发展,而来自AD-MSC的外泌体 miRNA 抑制卵巢癌细胞的增殖。如果考虑到癌细胞比正常细胞更多内化的EV,那么这一切都是非常相关的。
5. 抗纤维化作用
纤维化效应包括ECM蛋白的积累,例如胶原蛋白I、胶原蛋白III和纤连蛋白。这种情况是炎症、氧化应激和衰老等相关机制的结果。体内研究的数据显示,脐带MSC分别通过分泌 MMP-1、VEGF和HGF对骨骼肌纤维化或肾或肝纤维化具有抗纤维化作用。
6. 抗菌作用
除了由于与衰老相关的机制而易受感染外,微生物组在生物体任何部分的作用都可能导致炎症衰老。随着年龄的增长,共生的有益微生物和有害微生物之间会出现失衡,尤其是在肠道中。在这种情况下,MSC表达干扰素 (IFN) 及其受刺激基因 (ISG),包括CCL2、IFI6、PMAIP1、p21/CDKN1A、ISG15和SAT1以调节菌群稳态。
此外,ISG家族的成员可以在病毒穿过脂双层之前预防病毒感染。MSC通常对病毒感染有抵抗力,也可能通过分泌抗菌肽直接发挥作用。这些具有10-150个氨基酸的小效应分子,如导管素、防御素、胱抑素 C、弹性蛋白和脂质运载蛋白2,可能会破坏微生物膜的完整性并抑制它们的蛋白质、DNA或 RNA合成。然而,主要的作用机制是导管素的裂解产物,它具有广泛的抗菌、抗真菌和抗病毒活性。IL-10、IDO、IL-17和前列腺素E2 (PGE2) 是MSC分泌的其他具有抗菌活性的蛋白质。
MSC与衰老
同样,MSC也会发生复制性衰老。这是由于端粒缩短,导致复制衰老的发生。此外,还有其他导致MSC衰老的机制,如上述致癌基因诱导的衰老,应激诱导的早衰,表观遗传改变,自噬 和线粒体功能障碍。

△ 骨髓间充质干细胞衰老的机制。导致MSC衰老的关键因素包括:线粒体功能障碍、自噬缺陷、DNA损伤和端粒缩短
参考资料:
Liu, Y., Chen, Q. Senescent Mesenchymal Stem Cells: Disease Mechanism and Treatment Strategy. Curr Mol Bio Rep 6, 173–182 (2020). https://doi.org/10.1007/s40610-020-00141-0
衰老的MSC分化潜能发生改变。老化的MSC表现出成骨能力降下降,而成脂分化能力增加有助于减少骨形成和骨质疏松症。衰老的MSC募集巨噬细胞的能力也很低,并且无法将它们极化为抗炎M2表型。

△ 图2. 增殖细胞(左)和衰老细胞(右)、人宫颈间充质干细胞 (hUCESC) 的形态学差异
有趣的是,衰老的MSC通过分泌上述SASP因子影响它们的邻近细胞,这些因子也是炎症衰老的原因。衰老的MSC也会改变其外泌体的组成,来自老年供体的外泌体降低了年轻 MSC的成骨潜力。
几项研究表明,衰老通常与衰老细胞产生的细胞外囊泡(EV)有关。这一生理发现有两个可能的好处。一方面,来自衰老细胞的EV可能通过去除有毒分子促进细胞存活;另一方面,衰老细胞释放EV可能是一种发出痛苦信号的保护机制,通过这种机制,相邻细胞可能对压力做出更充分的反应。然而,更有可能的是,那些由衰老细胞产生的EV将有助于产生强烈的早衰信号。
MSC 在衰老和相关疾病中的功能改变
据报道,MSC的功能在老年相关疾病中发生改变:例如,在骨关节炎 (OA)、特发性肺纤维化 (IPF) 或心血管疾病中。
肌肉骨骼系统的疾病通常与年龄相关,并且由于与残疾相关;因此老年人容易发生跌倒、抑郁从而导致更高的死亡率。已发现OA软骨中的MSC数量高于正常软骨,人类OA软骨的衰老MSC足以诱导软骨退化。此外,人类OA软骨的衰老MSC易于成骨而不是软骨形成 。
IPF 是一种导致不可逆转的肺功能丧失的疾病。有数据表明衰老的MSC与IPF的发作之间存在联系。事实上,当人肺成纤维细胞与IPF MSC一起培养时,发现衰老标记物(例如 SA-β-gal、p16INK4A 和 p53)的表达增加。
MSC 作为抗衰老策略的基础
衰老与衰弱是一种复杂的老年综合症,由生理稳态的破坏而引起。衰弱可以通过以下至少三个组成部分来识别:步行速度慢和身体机能低下、疲惫、虚弱和无意识的体重减轻。值得注意的是,大脑(脑萎缩、神经元丢失和突触连接)、心血管系统(心肌梗死、心房颤动和慢性心力衰竭)、骨骼肌(肌肉质量和力量逐渐丧失)和内分泌系统(合成代谢和分解代谢之间的不平衡) 本质上与虚弱相关。
老年患者的管理包括实施卡路里限制、运动方案和补充激素。富含n-3多不饱和脂肪酸和维生素D的饮食可降低炎症细胞因子水平,从而降低炎症性疾病的死亡率。尽管包括运动和营养和认知训练有良好的效果,但这些个性化方法未能产生一致的效果。因此,需要新的策略来延缓衰弱的发生。
上述证据表明MSC在组织稳态中的公认作用;基于其积极生物学效应或其衍生产品可能是衰老与衰弱的替代治疗方案。Lui 等人提出了“3Rs”:移除、恢复活力或替换 (3Rs) 衰老的MSC。此外,笔者在此提出“外源性恢复干细胞细胞间信号的转导”(ERISSC) 的新概念。
1. Senolytics:消除衰老细胞
实验研究报告说,senolytic 药物可消除小鼠体内的衰老细胞并减轻与年龄相关的疾病,例如肌肉丢失、肺纤维化、代谢综合征、骨质疏松症、心功能障碍、血管功能障碍、糖尿病和痴呆症。
2. MSC年轻化
MSC再生的方法可能基于抗氧化药物、自噬调节、microRNA 处理以及预处理修饰和基因修饰。MSC 衰老可以通过抗坏血酸、乳铁蛋白、N-乙酰基-L-半胱氨酸或Cirsium setidens 等抗氧化剂减少RO的产生来逆转。
调节自噬水平也是恢复衰老MSC活力的策略。用自噬抑制剂雷帕霉素治疗可显着下调衰老 MSC中的SASP。此外,研究表明,用AICAR和NAM抑制mTORC1会促进自噬并推迟衰老。褪黑激素可以通过上调HSPA1L(一种热休克蛋白)来逆转MSC衰老,从而增加来自衰老 MSC 的线粒体中的抗氧化酶活性。
基因工程是另一种用于减缓MSC衰老的策略。例如,在衰老的MSC中引入 Erb-B2 受体酪氨酸激酶 4 (ERBB4) 可挽救衰老表型并赋予抗氧化应激能力。巨噬细胞迁移抑制因子 (MIF) 的过表达通过激活自噬使衰老的MSC 恢复活力。体外研究表明microRNA 可以调节 MSC衰老。
3. 更换MSC
考虑到供体的实际年龄对MSC的质量和寿命有很大影响,使用同种异体年轻的MSC是合理的,因为与老年供体相比,年轻的MSC具有更高的增殖能力和分化潜能。已经表明,同种异体MSC移植可降低老年患者的血清TNF-α。这是一个有趣的发现,因为血清TNF-α被认为是与年龄相关的慢性疾病相关的炎症标志物。
在创伤性脑损伤模型中,发现与老年大鼠相比,年轻大鼠的MSC移植后功能恢复显着,这表明 MSC 的神经保护特性具有年龄依赖性。更具体地说,最近一项针对扩张型心肌病患者的研究表明,通过向心肌注射年轻的同种异体而非老年自体的MSC,MSC改善了他们的心脏功能。
同样值得考虑的是,MSC移植可用于治疗多种疾病,如创伤性脑损伤、脊髓损伤、心血管疾病、中风和肝脏疾病 。综上所述,这使我们认为MSC移植可以作为衰老衰弱的治疗策略。
通过给予不同剂量的同种异体骨髓来源的MSC,在老年患者中进行了两项临床试验。在第一个临床试验中 ,每组5例患者分别静脉注射2000万、1亿、2亿。所有患者在 3 个月和 6 个月时 6 分钟步行距离增加,血清 TNF-α 水平降低。

△ 间充质干细胞(MSCs)对衰弱症的物理指标的影响,步行距离增加;血清TNF-α水平降低
参考资料:
Golpanian, S.; DiFede, D.L.; Khan, A.; Schulman, I.H.; Landin, A.M.; Tompkins, B.A.; Heldman, A.W.; Miki, R.; Goldstein, B.J.; Mushtaq, M.; et al. Allogeneic Human Mesenchymal Stem Cell Infusions for Aging Frailty. J. Gerontol. A Biol. Sci. Med. Sci. 2017, 72, 1505–1512.
在连续的临床试验中,其中30名衰老衰弱患者被随机分配到两个剂量组(1亿和2亿个MSC),结果显示是安全的,并且在两个治疗组中均检测到免疫学改善。此外,这两项试验证实,1亿个细胞优于2亿个细胞。一种可能的解释与较高剂量和细胞保存不利相关。基于这些初步的临床研究和即将进行的III期临床试验,MSC移植可能是一种衰老与虚弱的治疗方法。
4. 基于MSC 分泌蛋白衍生产物的治疗

△ 图3.与 MSC(间充质干细胞)和体细胞衰老相关的生理病理机制,以及“外源性恢复干细胞与细胞间信号转导”的(ERISSC) 策略
MSC的植入时间通常太短而无法产生有效影响,现在已知全身给药后一周MSC 的存活率不到1% 。尽管如此,最近的数据表明,MSC的主要作用不是细胞的直接替代,而是由旁分泌因子的分泌,例如生长因子、细胞因子和 EV,它们总体上显示出再生、抗炎、血管生成、抗细胞凋亡或抗氧化应激特性。
MSC分泌蛋白组可能代表一种新的医学生物技术。初步报告显示了来自MSC 的分泌蛋白衍生产品(例如 CM 或 EV)在与衰老相关的实验模型中的功效。据报道,来自人胎儿 MSC 的CM 显着降低了 SA-βGal 的表达,改善了成体MSC的复制衰老,并增强了它们的细胞增殖和分化潜能。类似的方法表明,来自MSC的CM调节IL1β处理的 OA 软骨细胞的衰老特征,减少肌动蛋白应激纤维的数量和γH2AX 灶的积累,并降低氧化应激。
在最近的一项研究中,胎儿MSC-CM 改善了实验模型中诱导的成人真皮成纤维细胞的抗衰老作用。关于 MSC-EV,有数据显示,从年轻小鼠中提取 EV 可减少小鼠的衰老,源自年轻MSC的 EV可使衰老的内皮祖细胞 (EPC) 恢复活力。
讨论与结论
衰老和虚弱是涉及多因素机制的复杂过程,例如复制衰老、氧化应激、线粒体功能障碍或自噬障碍。所有这些机制都会推动组织环境发生巨大变化,例如 SASP 和炎症老化。考虑到与衰老相关的生物学机制转化为组织稳态的复杂改变,MSC可能是一种很好的抗衰老策略。
这是因为MSC能控制多种与衰老相关的过程影响细胞间通讯和相关疾病,例如抗炎、再生和抗氧化应激,以及抗纤维化、抗肿瘤或抗菌作用。事实上,已经证明MSC功能的改变与早期衰老综合症和年龄相关疾病有关。这些相对较新的概念导致了具有吸引力的3R策略:去除衰老的MSC、再生或重新编程。
与年轻人相比,老年患者群体中的MSC缺乏生物学效应。因此,外源性补充年轻供体的MSC及其分泌的外泌体,可能是一种有效策略。 综上,MSC作为治疗衰老与衰弱的所有这些优势使我们能够挑战这一点。唯一的失败就是不去尝试。
参考资料:
https://doi.org/10.3390/biology11111678

